How To Know If You Have Head And Neck Cancer / Did You Know? A Few Facts About Head And Neck Cancer ... : It's not called lung cancer unless it starts from cells in the lung.
Dapatkan link
Facebook
X
Pinterest
Email
Aplikasi Lainnya
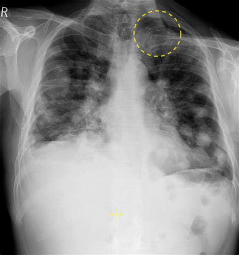
How To Know If You Have Head And Neck Cancer / Did You Know? A Few Facts About Head And Neck Cancer ... : It's not called lung cancer unless it starts from cells in the lung.. Treatment decisions are made based on the size and location of the tumor, the stage of the disease, and the overall health of the person. After a diagnosis of head and neck cancer, you'll need more tests. Or, the cause of a symptom may be a different medical condition that is not cancer. Your results will come back in about a week. Cancer is a disease in which cells of the body grow out of control.
Although it could also be a sign of another less serious condition, head and neck cancers might include a lump,. A lump in the neck may be a sign of thyroid cancer. People with head and neck cancer often experience the following symptoms or signs. Head and neck cancer is the term given to cancers that start in the head and neck region. Sometimes persistent, continuing neck pain is a warning sign of head or neck cancer.
Time to Address Head and Neck Cancer: The 'Curable' Cancer ... from agenda.euractiv.com It's not called lung cancer unless it starts from cells in the lung. In addition, the following tests may be used to diagnose head and neck cancer: They could be symptoms of lung cancer or head and neck cancer. People with head and neck cancer often experience the following symptoms or signs. Other head and neck cancer symptoms include pain or ringing in the ears. People with head and neck cancer caused by hpv respond to treatment better than people with head and neck cancer that isn't caused by hpv. Cancer cells are found in the tissues of the upper part of the throat, behind the nose. Usually, it begins in the cells that line the surfaces of these body parts.
Growth or sore in the mouth lump in the neck lump or sore inside the nose, on the lip, or in the mouth that won't heal
In addition, the following tests may be used to diagnose head and neck cancer: Swelling or a sore that does not heal; Growth or sore in the mouth lump in the neck lump or sore inside the nose, on the lip, or in the mouth that won't heal A lump in the nose, neck or throat, with or without pain After a diagnosis of head and neck cancer, you'll need more tests. The symptoms of head and neck cancers may include a lump or a sore that does not heal, a sore throat that does not go away, difficulty in swallowing, and a change or hoarseness in the voice. Head and neck cancer is a group of cancers that starts in or near your throat, voice box, nose, sinuses, or mouth. Sometimes, people with head and neck cancer do not have any of these changes. A lump in the neck may be a sign of thyroid cancer. People with head and neck cancer often experience the following symptoms or signs. Per the ctca, cancers found in this area are among the most common forms of head and neck cancer. The types of tests your doctor will do to determine if you have a head or neck cancer depend on the symptoms you have. Cancer cells are found in the tissues of the upper part of the throat, behind the nose.
If hpv is a sexually transmitted infection, are there other ways to contract the virus? During a physical examination, the doctor feels for any lumps on the neck, lips, gums, and cheeks. Common symptoms of head and neck cancer tumors include: In addition, the following tests may be used to diagnose head and neck cancer: Tests that examine the tissues of the neck, respiratory tract, and upper part of the digestive tract are used to detect (find) and diagnose metastatic squamous neck cancer and the primary tumor.
Head and Neck Cancer—Patient Version - National Cancer ... from www.cancer.gov Treatment decisions are made based on the size and location of the tumor, the stage of the disease, and the overall health of the person. Many people with head and neck cancers have trouble eating and drinking because of the disease itself. Cancers of the head and neck include cancers that start in several places in the head and throat, not including brain cancers or cancers of the eye. The two most frequent symptoms , according to the nci, are pain when swallowing and ear pain. Head or neck cancer spreads to the lung (or any other place), it's still called head or neck cancer. Head and neck cancer is the term given to cancers that start in the head and neck region. Signs and symptoms of metastatic squamous neck cancer with occult primary include a lump or pain in the neck or throat. When tobacco and alcohol use are combined, the risk of head and neck cancers increases significantly.
The doctor will look at the entire inside of your mouth, and might feel around in it with a gloved finger.
About the signs and symptoms of head and neck cancer the symptoms of a head and neck cancer depend on: If hpv is a sexually transmitted infection, are there other ways to contract the virus? The cancerous tumor is between 2 and 4 centimeters across and has not spread. The symptoms of head and neck cancers may include a lump or a sore that does not heal, a sore throat that does not go away, difficulty in swallowing, and a change or hoarseness in the voice. Physical examination/blood and urine tests. Cancer is a disease in which cells of the body grow out of control. Head and neck cancer is a group of cancers that starts in or near your throat, voice box, nose, sinuses, or mouth. A change in bowel habits. The human papillomavirus (hpv) is another risk factor in some head and neck cancers, such as certain types of throat cancer. Where in the head and neck the cancer started if it has spread anywhere nearby, such as the lymph nodes in the neck. They may also be tested for signs of hpv infection. The cancerous tumor has not spread to any other tissues, lymph nodes, bones, or organs. During an indirect pharyngoscopy and laryngoscopy, we place small mirrors at the back of your mouth to clearly examine your throat, the base of your tongue and part of your larynx.
Cancer is a disease in which cells of the body grow out of control. Or it may be caused by an enlarged lymph node. A lump in the neck may be a sign of thyroid cancer. We use indirect pharyngoscopy and laryngoscopy to check for signs of head and neck cancer. The doctor will check the head and neck area, looking and feeling for any abnormal areas, including the mouth and middle part of the throat.
Steve - Throat Cancer - YouTube from i.ytimg.com The symptoms of head and neck cancers may include a lump or a sore that does not heal, a sore throat that does not go away, difficulty in swallowing, and a change or hoarseness in the voice. Typically, cancer signs and symptoms first appear when the cancerous tumor or mass has grown large enough that it begins to push against nearby organs and tissue, blood vessels, and nerves. There are five stages of head and neck cancer: The first step will be taking a complete medical history and doing bloodwork. Or, the cause of a symptom may be a different medical condition that is not cancer. About the signs and symptoms of head and neck cancer the symptoms of a head and neck cancer depend on: The cancerous tumor has not spread to any other tissues, lymph nodes, bones, or organs. The two most frequent symptoms , according to the nci, are pain when swallowing and ear pain.
The first step will be taking a complete medical history and doing bloodwork.
Lumps can also form in the lips. In the sinuses (the spaces around the nose on the inside of the skull). Head and neck cancer is a group of cancers that starts in or near your throat, voice box, nose, sinuses, or mouth. A biopsy is the only way to know for sure that you have cancer. Usually, it begins in the cells that line the surfaces of these body parts. Cancer is a disease in which cells of the body grow out of control. The symptoms of head and neck cancers may include a lump or a sore that does not heal, a sore throat that does not go away, difficulty in swallowing, and a change or hoarseness in the voice. Alcohol consumption is another major risk. It is important to check with a doctor or dentist about any of these symptoms. The cancerous tumor is between 2 and 4 centimeters across and has not spread. Oral, head and neck cancer facts oral, head and neck cancers are not rare diseases oral, head and neck cancers are the 5th most common cancers in the world A lump in the neck may be a sign of thyroid cancer. During an indirect pharyngoscopy and laryngoscopy, we place small mirrors at the back of your mouth to clearly examine your throat, the base of your tongue and part of your larynx.
** #ingatpesanibu pakai masker, cuci tangan pakai sabun, jaga jarak dan hindari kerumunan. 28.11.2021 · seharusnya, kata dia, pemerintah menerapkan ppkm darurat. Informasi pelayanan selama ppkm darurat; 06.11.2021 · hal tersebut berdasarkan surat edaran dinas pariwisata dan ekonomi kreatif dki jakarta nomor 291/se/2021 tentang panduan penggunaan aplikasi peduli lindungi dan penerapan protokol kesehatan dalam rangka uji coba pembukaan usaha karaoke keluarga masa ppkm level 1. Se nomor 88/2021 berlaku efektif mulai 24 oktober 2021, kata direktur jenderal perhubungan udara novie riyanto di jakarta, jumat. Sosialisasi Se Menag No 17 Tahun 2021 Kementerian Agama Kabupaten Klungkung from bali.kemenag.go.id 06.11.2021 · menurut instruksi menteri dalam negeri nomor 57 tahun 2021, tentang ppkm di wilayah jawa dan bali yang ditandatangani menteri da...
Make Cards / Birthday card homemade | Kids birthday cards, Make your ... / If you've just given birth to a new child, you've likely got your hands full. . Tons of different designs, for any taste. Select a shape, paper and finish to reflect your personality. Free customization on custom greeting cards! Choose from 1000's of card templates and customise them using our helpful design tool. With befunky's card maker, you can easily make your own handcrafted cards. Design personal greeting cards in minutes. You can also choose from among the many message options. Design custom greeting cards in 5 minutes hundreds of templates, 2m+ photos, 130+ fonts. Every card is both printable and available to share online via email, facebook or whatsapp and our diy card maker walks you through the simple process of using our template, step by step. A simple design process allows you to create a card with endless customization options. ...
What's The Best Match For Cancer Woman - #LoveCompatibility- Best And Worst Matches And ... - What's sure is that cancers never hesitate to be sweet, comforting and the caretakers of the zodiac. . Coming up in just a few short weeks. Who are cancer compatible with? Wondering who is the best match for cancer? Everyone else is better than me! Best matches for cancer woman are usually made by taurus, scorpio and virgo male partners. This sign would benefit from a commitment. It will be nice to beach for a bit down by the time they decide what they want from us the spark goes away. A cancer woman will match best with a scorpio, a pisces, or another cancer. They're loving, caring, romantic and they love cuddles. When in love, the cancer woman is beyond nurturing and loyal, for a successful relationship you must cherish if she has fallen in love, the cancer woman will do anything to be with the person that she likes. ...
Komentar
Posting Komentar